Как головной мозг реагирует на религиозные переживания

29 ноября 2016 г. 20:04

29.11.2016 21:05

Религиозные и духовные переживания активируют центр вознаграждения (удовольствия) головного мозга, как и любовь, секс, азартные игры, наркотики и музыка, сообщают исследователи из школы медицины Университета штата Юта. Результаты опубликованы 29 ноября в журнале «Social Neuroscience».

«Мы только начинаем понимать, как мозг интерпретирует духовное, божественное или трансцендентное», – говорит старший автор и нейрорадиолог Джефф Андерсон, доктор медицинских наук и доктор философии.

Исследователи задались целью определить, какие сети мозга участвуют в представлении духовных чувств на примере мормонов путем создания среды, которая вызывала у участников «чувство божественного духа». Во время МРТ сканирования 19 взрослых выполняли задачи, чтобы вызвать религиозные чувства. Часовой экзамен включал шесть минут отдыха, шесть минут аудиовизуального контроля, восемь минут духовных изречений мормонов и религиозных лидеров мира, чтение религиозных книг, 12 минут аудиовизуальных стимулов. Участникам показывали цитаты и задавали вопрос о том, чувствуют ли они присутствие духа.

Исследователи собрали подробные оценки чувств участников, которые сообщили о видах ощущений, характерных для интенсивного богослужения. Они описывали покой и физическое тепло. У многих были слезы на глазах по окончанию сканирования. В одном эксперименте участники нажимали кнопку, когда они чувствовали пик духовного чувства.

«Когда участникам говорили думать о спасителе, семьях и вечности, мозг и тело откликались физически», – говорит автор Майкл Фергюсон, доктор философии, который проводил исследование.

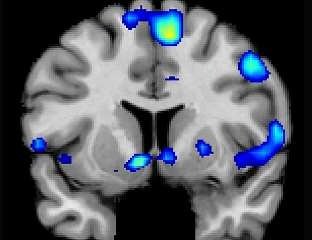
На основании МРТ сканирования исследователи выяснили, что сильные духовные чувства связаны с активацией центра удовольствия в головном мозге. Как только участники испытывали пиковые ощущения, их сердца бились быстрее, и дыхание становилось глубже.

Кроме того, исследователи обнаружили, что духовные чувства связаны с медиальной префронтальной корой, которая представляет собой сложную область мозга, активирующую задачи, связанные с оценкой, суждением и моральными принципами. Также происходит активизация участков мозга, связанных со вниманием.

«Религиозный опыт – важная часть того, как люди принимают решения. Мозг по-разному реагирует на медитативные и созерцательные практики, характерные для некоторых восточных религий, и до сих пор мало что известно о нейробиологии западных духовных практик», - считают исследователи.

Это исследование – первая инициатива проекта «Религиозный мозг», начатое группой исследователей Университета штата Юта в 2014 году, цель которого – понимание того, как мозг работает у людей с духовными и религиозными убеждениями.

Источник medicalxpress.com/news/2016-11-brain-god-spiritual-reward-circuits

ЗАЯВКА НА ЛЕЧЕНИЕ

Отправляя форму Вы соглашаетесь с политикой конфиденциальности

Комментарии

Пока комментариев нет

Новый комментарий

обязательно

обязательно (не публикуется)